황색포도알균 감염증|원인|생김새|감염 증상|감염 경로|치료|특징

황색포도알균(Staphylococcus aureus)은 사람의 피부와 코 안에 흔히 존재하는 그람양성균으로, 기회감염 시 다양한 감염 질환을 유발할 수 있는 병원성 세균입니다. 정상적인 환경에서는 큰 해를 끼치지 않지만, 상처나 면역력 저하 상태에서 체내로 침입할 경우 심각한 염증성 질환을 일으킬 수 있습니다. ‘포도알’이라는 이름처럼 현미경으로 보면 포도송이처럼 둥글게 뭉쳐 있는 모양을 띠며, 황금빛 색소를 지니고 있어 ‘황색’이라는 명칭이 붙었습니다. 피부 감염부터 폐렴, 패혈증, 심내막염, 식중독까지 다양한 감염 질환의 원인이 되며, 특히 항생제 내성 균주(MRSA)의 출현으로 인해 의료계에서는 매우 중요한 감염 관리 대상입니다. 공기 중이나 손, 오염된 물건 등을 통해 쉽게 전파되기 때문에, 병원 내 감염 또는 위생 상태가 불량한 환경에서 특히 주의가 필요합니다. 예방을 위한 개인 위생 수칙 준수와 철저한 감염 관리가 무엇보다 중요합니다.
① 황색포도알균 감염증
황색포도알균은 감염 부위나 형태에 따라 다양한 질병을 유발합니다.
• 피부 및 연조직 감염
가장 흔한 감염 형태로, 농가진, 종기, 봉와직염, 상처 감염 등으로 나타납니다.
• 호흡기 감염
흡입이나 기도 삽입 후 폐렴을 일으킬 수 있으며, 특히 면역 저하 환자에서 위험합니다.
• 패혈증 및 심내막염
균이 혈류를 통해 전신으로 퍼지면 패혈증, 심내막염, 골수염 등 중증 감염을 유발할 수 있습니다.
• 식중독
황색포도알균이 생산하는 장독소로 인해 구토와 설사를 유발하는 식중독이 발생할 수 있습니다.
• 독성쇼크증후군
희귀하지만 치명적인 질환으로, 생리대 장기 사용 등과 관련된 사례가 보고된 바 있습니다.
• 수술 후 감염 및 의료기기 감염
인공심장판막, 인공관절 등 삽입물 주변에서 감염이 자주 발생할 수 있습니다.




② 황색포도알균 감염 원인
감염은 주로 피부 손상, 면역력 저하, 또는 외부 삽입 기구(카테터, 인공관절 등)로 인해 발생합니다.
• 피부가 찢기거나 긁힌 경우, 상처 부위에 균이 침투해 염증을 유발할 수 있습니다.
• 만성 질환자(당뇨, 암, 신부전 등)나 고령자, 면역억제 치료 중인 환자에서 감염 위험이 높습니다.
• 병원에서 사용되는 삽입형 기구나 수술 부위가 감염의 주요 통로가 되며, 의료진의 손 위생이 매우 중요한 변수로 작용합니다.
• 장독소에 오염된 식품을 섭취하거나 위생이 불량한 조리 환경도 식중독의 원인이 됩니다.
• 보균자의 호흡기, 피부 접촉을 통해 타인에게 전파되며, 특히 병원 내 감염에서 문제가 됩니다.


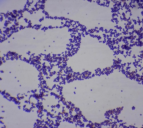
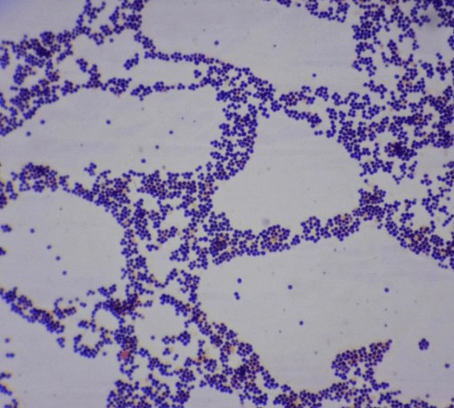
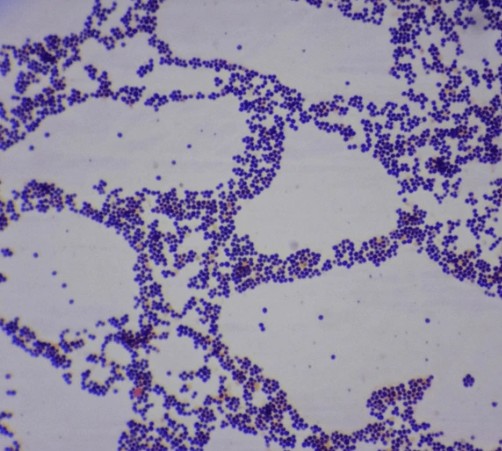
③ 황색포도알균 생김새
황색포도알균은 현미경으로 보면 지름 약 0.5~1.5㎛ 크기의 둥근 공 모양 세균이 포도송이처럼 무리지어 배치된 특징적인 형태를 지닙니다.
• 그람양성균
그람염색 시 보라색으로 염색되며, 두꺼운 세포벽을 갖고 있습니다.
• 무산소성 호기균
산소가 있어도 살아가며, 조직 깊은 곳까지 감염을 일으킬 수 있습니다.
• 황금색 색소 생성
황색포도알균의 이름처럼 황금빛을 띠는 색소를 생성하는데, 이는 항산화 작용을 갖고 있어 생존력을 높입니다.
• 운동성 없음
편모가 없어 스스로 움직이지 않지만, 체액이나 외부 매개체를 통해 쉽게 퍼집니다.
• 포자 비형성균
포자를 만들지 않지만, 열과 건조에 강한 내성을 보이는 경우도 있습니다.


④ 황색포도알균 감염 증상
감염 부위에 따라 매우 다양한 증상이 나타납니다.
• 피부 감염
붉어짐, 부기, 통증, 농양, 고름 형성 등이 나타나며, 종기나 다래끼 형태로 나타나기도 합니다.
• 호흡기 감염
발열, 기침, 호흡곤란, 흉통 등이 있으며, 급성 폐렴으로 진행될 수 있습니다.
• 식중독
구토, 설사, 복통 등이 급격히 발생하며, 잠복기는 짧고 보통 2~6시간 이내에 증상이 발현됩니다.
• 패혈증
고열, 저혈압, 오한, 혼수 등의 전신 증상과 함께 쇼크로 진행되면 생명이 위태로울 수 있습니다.
• 심내막염
심장 잡음, 피로감, 피부에 작은 출혈반점 등이 나타나며, 적절히 치료하지 않으면 심장판막 손상이 진행됩니다.
• 수술 부위 감염
발열, 통증, 상처 부위에서 고름이 나오고, 상처 치유가 지연되는 경우가 많습니다.




⑤ 황색포도알균 감염 경로
감염은 대부분 접촉을 통해 이루어지며, 특히 피부나 점막, 오염된 물체, 손을 통한 전파가 많습니다.
• 직접 접촉 감염
감염된 상처, 피부, 분비물 등과의 접촉을 통해 전파됩니다.
• 간접 접촉 감염
오염된 수건, 문고리, 의료기기 등을 통해 감염될 수 있습니다.
• 공기 중 전파
비말 형태로 공기 중 퍼질 수 있으나, 주된 전파 경로는 접촉입니다.
• 병원 내 전파
환자 간 또는 의료진-환자 간 손 접촉, 의료도구 오염 등을 통해 발생하는 병원 내 감염이 심각한 문제가 됩니다.
• 음식물 감염
장독소를 생산한 균이 증식한 식품을 섭취함으로써 식중독 형태로 감염됩니다.
• 자가 감염
본인의 코나 피부에서 보균하고 있던 균이 상처나 점막을 통해 스스로 감염될 수 있습니다.




⑥ 황색포도알균 치료
치료는 감염 부위, 증상 정도, 환자의 전신 상태 등에 따라 달라지며, 항생제 치료가 기본입니다.
• 경미한 피부 감염
소독과 항생제 연고, 드레싱 처치로 충분히 회복됩니다.
• 중등도 이상 감염
경구 또는 정맥 주사 항생제를 사용하며, 항생제는 내성 유무에 따라 선택됩니다.
• MRSA 감염 시
반코마이신(Vancomycin), 리네졸리드(Linezolid), 테디졸리드(Tedizolid) 등의 특수 항생제가 사용됩니다.
• 고름 형성 시 절개 배농
농양이 클 경우 절개하여 고름을 배출하는 외과적 처치가 병행됩니다.
• 식중독
대부분 대증치료(수분 공급, 전해질 보충)만으로 회복되며, 항생제는 필요하지 않습니다.
• 예방 및 감염 관리
손 씻기, 상처 관리, 개인 물품 공유 금지, 의료기기 멸균 등 위생 관리가 핵심입니다.


⑦ 황색포도알균 특징
• 광범위한 감염 유발력
피부 감염에서 패혈증까지 다양한 감염을 유발하며, 심각한 합병증도 동반할 수 있습니다.
• 자연 보균 가능
건강한 사람도 코 점막이나 피부에 균을 보유할 수 있으며, 증상 없이 타인에게 전파할 수 있습니다.
• 강한 내성 형성 능력
항생제 남용으로 인해 MRSA(메티실린 내성 황색포도알균) 등 내성 균주가 출현하여 치료가 점점 어려워지고 있습니다.
• 고위험군 감염 집중
병원 입원자, 수술환자, 면역저하자 등 고위험군에서 감염 확률이 높고, 감염이 중증화될 위험도 큽니다.
• 장독소 생성
식중독을 유발하는 독소를 분비할 수 있으며, 냄새나 색깔 변화 없이 식품이 오염되기도 합니다.
• 환경 내 생존력 우수
건조한 환경이나 세척이 불완전한 물건 표면에서도 오랜 시간 생존할 수 있어 감염 관리가 어려울 수 있습니다.



황색포도알균은 우리 몸에 상주할 수 있는 평범한 균이지만, 조건이 맞을 경우 치명적인 감염을 일으킬 수 있는 위험한 병원체입니다. 특히 항생제 내성 균주의 출현으로 인해 단순한 피부 감염도 치료가 까다로워지고 있으며, 병원 내 감염을 일으키는 대표적 원인균으로 꼽히고 있습니다. 피부 상처나 손 위생을 소홀히 하면 자가 감염이나 타인에게 전파될 가능성이 높아지므로, 일상생활에서도 위생 관리가 필수적입니다. 감염 예방을 위해 손 씻기, 개인 물품 구분 사용, 상처 즉시 소독 등 기본적인 위생 습관을 잘 지키는 것이 가장 좋은 예방법입니다. 특히 병원이나 요양시설 등 고위험 환경에서는 더욱 철저한 감염 통제가 필요합니다. 평소 자신의 면역 상태를 잘 유지하고, 감염 초기에는 신속한 치료를 받는 것이 황색포도알균의 위협에서 벗어나는 핵심입니다.
2025.07.14 - [증상과 예방] - 식중독 증상|치료|검사|전염|식중독 좋은 음식|빨리 낫는법|예방
식중독 증상|치료|검사|전염|식중독 좋은 음식|빨리 낫는법|예방
식중독 증상|치료|검사|전염|식중독 좋은 음식|빨리 낫는법|예방식중독은 오염된 음식이나 물을 섭취했을 때 발생하는 급성 위장 질환입니다. 주로 세균, 바이러스, 기생충, 독소 등이
homeostasises.com
2025.07.24 - [증상과 예방] - 열사병 증상|응급 처치|열사병 일사병 차이|치료|예방법|좋은 음식
열사병 증상|응급 처치|열사병 일사병 차이|치료|예방법|좋은 음식
열사병 증상|응급 처치|열사병 일사병 차이|치료|예방법|좋은 음식열사병은 체온 조절이 불가능할 정도로 체온이 비정상적으로 상승하면서 땀이 멈추고 의식 이상까지 초래하는 치명적
homeostasises.com
'효능과 건강' 카테고리의 다른 글
| 폴리코사놀 효능|부족 현상|복용법 • 시기|부작용|많은 음식|권장량 (1) | 2025.08.07 |
|---|---|
| CLA 효능|부족 현상|복용법 • 시기|부작용|많은 음식|CLA 권장량 (1) | 2025.08.07 |
| 카르니틴 효능|부족 현상|복용방법 • 시기|부작용|많은 음식|적정량 (2) | 2025.08.07 |
| 헬리코박터균 증상|원인|치료|검사|전염|치료 약|음식|술|음주 (4) | 2025.08.07 |
| 번데기 부작용|유래|칼로리|영양소|혈당지수|당뇨|번데기 적정량 (6) | 2025.08.07 |