모야모야병 증상|뜻|원인|모야모야병 유전|치료법|완치|예방법|

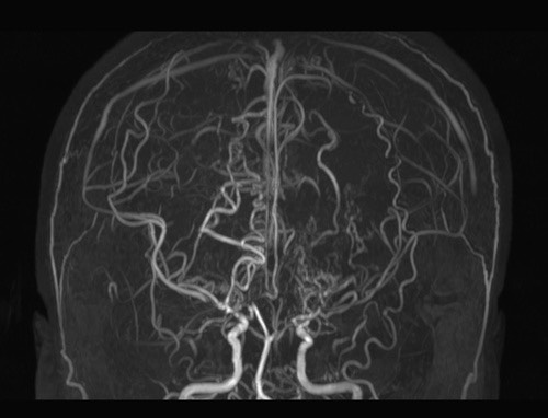
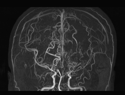
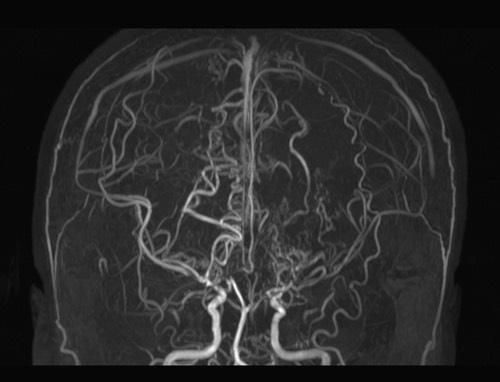
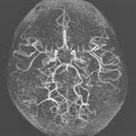
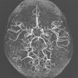
모야모야병은 뇌혈관, 특히 뇌로 혈액을 공급하는 내경동맥과 그 주변 주요 혈관이 점점 좁아지고 막히는 희귀 난치성 질환으로, 혈류가 줄어든 뇌는 부족한 혈액을 보충하기 위해 가느다란 미세측부혈관들을 새로 만들어냅니다. 이 작은 혈관들이 연기처럼 보인다고 하여 일본어로 ‘모야모야(안개·연기)’라는 이름이 붙었습니다. 소아부터 성인까지 폭넓게 나타나며, 특히 5~10세 어린이와 30대 전후의 여성에서 비교적 많이 발견되는 경향이 있습니다. 증상은 일시적 마비, 언어장애, 두통, 실신, 경련 등 매우 다양해 뇌졸중과 유사하거나 초기에는 가벼운 신경학적 증상으로만 나타나 진단이 늦어지기도 했습니다. 질환이 진행하면 허혈성 뇌졸중(뇌경색)이나 출혈성 뇌졸중 위험이 증가하여 반드시 전문적인 관리가 필요합니다. 아직 완전히 예방할 수 있는 방법은 없지만 조기 진단과 적절한 치료를 통해 뇌 기능을 보호하고 삶의 질을 유지할 수 있습니다.
모야모야병 뜻(정의)
모야모야병은 뇌기저부의 주요 혈관이 서서히 협착되고 막히면서 뇌혈류가 감소하는 만성 진행성 뇌혈관 질환입니다. 협착이 진행된 부위를 대신해 뇌는 생존을 위해 얇고 약한 혈관망을 만들어 혈류를 보충하려 하고, 이 새로운 혈관들이 촬영 영상에서 연기처럼 퍼져 보인다고 하여 ‘모야모야’라는 이름이 붙었습니다. 기전적으로는 내경동맥 말단부와 중대뇌동맥·전대뇌동맥의 기시부에 병변이 가장 잘 생기며, 시간이 지남에 따라 양쪽에 대칭적으로 나타나는 특징을 보였습니다. 이 질환은 단순한 혈관 협착이 아니라 진행성 변화이기 때문에 치료하지 않으면 혈류 부족이 심해지고 뇌 손상이 누적될 수 있습니다. 또한 뇌기능이 체력·호흡·체온 변화 등에 민감하게 반응하기 때문에 과호흡, 울음, 격렬한 운동, 감염 등으로 증상이 악화될 수 있습니다. 즉, 모야모야병은 시간이 지나면서 뇌혈류를 감소시키고 뇌졸중 위험을 높이는 질환이며, 평생 관리가 필요한 만성적 특성을 갖고 있습니다.




모야모야병 증상
모야모야병의 증상은 연령대에 따라 다르게 나타나며, 초기에는 아주 가벼워 지나치기 쉬웠습니다.
① 소아에게 흔한 증상
소아는 뇌혈류 감소가 갑작스러운 뇌기능 저하로 연결되기 쉽기 때문에 일시적인 편마비(손발이 갑자기 흐느적거림), 언어장애, 실신, 경련 등이 자주 나타났습니다. 특히 과호흡(빠르게 숨 쉬기), 격렬한 울음, 뜨거운 목욕 후 체온 상승 등이 유발 요인이 되어 순간적으로 증상이 악화되는 특징이 있습니다. 아이들이 손에 힘이 빠져 물건을 놓거나 말을 더듬고 어지러워하는 모습이 반복될 수 있습니다.
② 성인에게 흔한 증상
성인은 소아보다 출혈성 뇌졸중, 즉 뇌출혈 형태로 나타나는 비율이 더 높습니다. 평소에는 두통·어지러움·손저림처럼 가벼운 증상만 보이다가 갑작스러운 두통, 언어장애, 반신마비가 찾아올 수 있습니다.
③ 공통 증상
가벼운 허혈 발작(TIA), 반복되는 두통, 집중력 저하, 기억력 저하, 피로감 등이 나타날 수 있으며, 스트레스·감기·과로·탈수 등으로 악화될 수 있습니다. 증상은 하루에도 여러 번 나타났다 사라지기도 하며, 이러한 반복은 결국 뇌손상을 누적시켜 학습능력 저하나 일상생활 불편으로 이어질 수 있습니다.




모야모야병 원인
모야모야병의 정확한 원인은 아직 완전히 밝혀지지 않았으나, 연구를 통해 몇 가지 핵심 요인들이 제시되었습니다.
① 유전자 변화
가장 강력한 관련성으로 알려진 것은 RNF213 유전자 변이이며, 특히 동아시아인의 발병과 깊은 관련이 있는 것으로 보고되었습니다. 그러나 이 유전자가 있다고 해서 모두 발병하는 것은 아니며, 유전 외에도 다양한 환경·면역·염증 요인이 함께 작용하는 것으로 추정됩니다.
② 면역·염증 반응
모야모야병 환자에게서 혈관 내 염증 반응이 반복적으로 발생한다는 보고가 있으며, 이는 혈관벽 손상과 재형성을 촉진해 협착을 악화시키는 것으로 알려졌습니다.
③ 자기면역적 요인
갑상선질환(하시모토병 등)과 동반되는 사례가 비교적 많아 면역계의 이상이 작용할 가능성도 제기되었습니다.
④ 환경적 요인
흡연, 심한 스트레스, 만성 감염 등은 직접적인 원인은 아니지만 혈관 기능을 떨어뜨려 병변 진행 속도에 영향을 줄 수 있습니다.
결론적으로 원인은 단일 요소가 아니라 유전적 취약성 + 환경 및 면역 요인이 함께 작용하여 발병하는 것으로 이해되고 있습니다.




모야모야병과 유전
모야모야병은 가족력이 있는 경우가 일반보다 30~40배 이상 높게 보고된 바 있어 유전적 성향이 강한 질환으로 분류됩니다. 특히 앞서 언급한 RNF213 유전자 변이는 동아시아 인구에서 높은 빈도로 발견되며, 부모 중 한 명이 모야모야병이면 자녀에게 유전될 가능성도 존재합니다. 그러나 중요한 점은 다음과 같습니다.
① 유전자가 있어도 반드시 병이 생기는 것은 아니다.
② 유전자가 없어도 병이 생길 수 있다.
③ 유전 요인은 “위험도를 높일 뿐”, 발병을 100% 결정하지는 않는다.
따라서 가족력이 있거나 의심되는 증상이 있다면 뇌 MRA·MRI 등의 정기검진이 도움이 되며, 조기 진단 시 치료 효과도 훨씬 높아집니다.




모야모야병 치료방법
모야모야병은 한 번 협착된 혈관을 약물로 다시 넓히는 것이 불가능하기 때문에, 치료의 기본은 뇌혈류를 새롭게 확보하는 수술적 치료입니다.
약물치료(보조적 치료)
• 아스피린 등 항혈소판제를 사용해 혈액 응고 위험을 낮춰 허혈성 발작을 줄이는 데 도움을 줍니다.
• 두통 조절, 경련 조절 약이 사용되기도 합니다.
그러나 약물만으로는 근본적 치료가 되지 않습니다.
수술치료(뇌혈류 재건술, Revascularization surgery)
모야모야병의 핵심 치료는 뇌혈류 공급을 위한 새로운 통로를 만들어주는 수술입니다.
① 직접 우회술(Direct bypass)
• 측두동맥(STA)을 직접 뇌혈관(MCA)과 연결해 혈류를 즉시 공급하는 방식 • 성인에서 가장 많이 시행
• 수술 직후부터 혈류 개선 효과가 빠르게 나타납니다.
② 간접 우회술(Indirect bypass)
• 근육이나 막 조직을 뇌 표면에 붙여 그 조직에서 자라는 새로운 혈관이 뇌를 공급하도록 유도 • 소아에서 많이 사용
• 혈류 증가 효과가 나타나기까지 수개월이 필요합니다.
③ 혼합 우회술(Combined bypass)
• 직접 + 간접 방법을 동시에 시행하는 방식
• 빠른 효과 + 장기 안정성을 동시에 노릴 수 있는 방법입니다.
생활 관리
• 탈수 방지(충분한 수분 섭취)
• 과호흡을 유발하는 행동(격한 체육활동 등) 자제
• 갑작스러운 체온 변화, 과음, 과로 등의 스트레스 최소화 이러한 생활 관리는 발작·증상 악화를 줄이는 데 매우 중요합니다.


모야모야병 완치 여부
모야모야병은 현재 의학적으로 완치가 불가능한 질환으로 분류됩니다. 이미 좁아진 혈관을 다시 정상화시키는 방법은 없기 때문입니다. 그러나 “완치 불가”라는 표현은 절망이 아니라, 아래와 같은 관리 체계를 의미합니다.
① 수술을 통해 새로운 혈류 경로를 충분히 확보하면, 뇌졸중 위험을 크게 줄이고 거의 정상적인 생활을 유지할 수 있습니다.
② 조기 진단 후 적절한 치료를 받은 환자는 장기적으로 매우 안정적인 경과를 보일 수 있습니다.
③ 꾸준한 추적 검사와 생활 관리로 발작 감소·인지기능 유지·일상 회복이 충분히 가능합니다.
즉, 완전한 치유는 어렵지만 “충분히 관리 가능한 만성 질환”이며, 대부분의 환자가 수술 후 학교·직장·일상생활로 정상 복귀하고 있습니다.


모야모야병은 드문 질환이지만 조기진단과 적절한 치료를 통해 충분히 관리할 수 있으며, 특히 뇌혈류를 회복시키는 우회술의 발전으로 환자의 삶의 질은 과거보다 매우 향상되었습니다. 중요한 것은 증상이 미묘해도 이를 가볍게 넘기지 않고 전문의의 평가를 받는 것이며, 가족력이 있는 경우에는 예방적 검사로 위험을 줄일 수 있습니다. 완치는 어렵지만 꾸준한 관리와 생활 습관 조절을 통해 장기적으로 안정된 생활을 유지하는 것이 가능합니다. 또한 아이와 성인 모두 스트레스·감염·탈수 등으로 증상이 악화될 수 있기에 평소 건강 관리가 무엇보다 중요합니다. 수술 후에도 정기적인 추적 관찰은 필수이며, 작은 변화도 즉시 확인하는 주의가 필요합니다. 결국 모야모야병은 두려운 병이 아니라, 제대로 알고 관리하면 충분히 함께 살아갈 수 있는 질환입니다.
2025.10.19 - [증상과 예방] - 독감 예방접종|증상|독감 빨리 낫는법|독감 예방법|독감에 좋은 음식
독감 예방접종|증상|독감 빨리 낫는법|독감 예방법|독감에 좋은 음식
독감 예방접종|증상|독감 빨리 낫는법|독감 예방법|독감에 좋은 음식독감(인플루엔자)은 인플루엔자 바이러스에 의해 발생하는 급성 호흡기 질환으로, 흔히 알고 있는 감기와는 원인 바이
homeostasises.com
2025.10.02 - [증상과 예방] - 독감 예방 접종 무료대상날짜|비용|시기|주의사항|3가 4가|가격|
독감 예방 접종 무료대상날짜|비용|시기|주의사항|3가 4가|가격|
독감 예방 접종 무료대상날짜|비용|시기|주의사항|3가 4가|가격|독감(인플루엔자)은 인플루엔자 바이러스가 호흡기를 통해 전파되어 발생하는 급성 호흡기 질환으로, 고열·기침·근육
homeostasises.com
2025.09.15 - [효능과 건강] - 신장에 좋은 음식|콩팥 역할|신장 관리 방법|콩팥에 좋은 음식|운동|
신장에 좋은 음식|콩팥 역할|신장 관리 방법|콩팥에 좋은 음식|운동|
신장에 좋은 음식|콩팥 역할|신장 관리 방법|콩팥에 좋은 음식|운동|콩팥, 흔히 신장이라고 불리는 기관은 우리 몸의 허리 양쪽에 위치한 강낭콩 모양의 장기로, 체내의 노폐물을 걸러내
homeostasises.com
'증상과 예방' 카테고리의 다른 글
| B형 독감 증상|격리기간|잠복기|B형독감에 좋은 음식|등교|전염성 (0) | 2026.02.01 |
|---|---|
| 혈액암 초기 증상|원인|종류|치료방법|생존율|혈액암에 좋은 음식| (1) | 2026.01.03 |
| 목감기 빨리 낫는법|목감기에 좋은 음식|증상|약|좋은차|따뜻한물| (1) | 2025.10.31 |
| 독감 예방접종|증상|독감 빨리 낫는법|독감 예방법|독감에 좋은 음식 (0) | 2025.10.19 |
| 독감 예방 접종 무료대상날짜|비용|시기|주의사항|3가 4가|가격| (0) | 2025.10.02 |