혈액암 초기 증상|원인|종류|치료방법|생존율|혈액암에 좋은 음식|

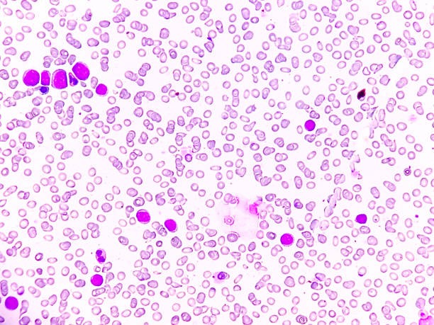
혈액암은 우리 몸의 조혈 기관인 골수나 림프 계통에서 발생하는 악성 종양을 통칭하는 질환으로 혈액 세포가 암세포로 변하여 무한 증식하는 병입니다. 정상적인 혈액 세포의 생성을 방해하고 면역 체계를 무너뜨려 전신 건강에 심각한 위협을 가하는 특성을 지니고 있습니다. 일반적인 고형암과 달리 혈액을 타고 전신을 순환하기 때문에 발생 초기부터 전신 질환으로 간주하며 진단과 치료 과정이 매우 정밀하게 이루어집니다. 현대 의학의 발전으로 치료법이 다양해지고 있어 조기에 발견하여 적절한 대처를 하는 것이 무엇보다 중요합니다. 이제 혈액암의 다양한 측면을 레시피처럼 상세하고 정성스럽게 하나씩 풀어서 설명해 드리겠습니다.
혈액암의 초기 증상
혈액암의 초기 증상은 마치 감기나 만성 피로처럼 일상적인 불편함으로 시작되는 경우가 많아 세심한 관찰이 필요합니다.
피로감과 쇠약감
가장 흔하게 나타나는 초기 증상 중 하나는 이유를 알 수 없는 극심한 피로감과 전신 쇠약감입니다. 충분한 휴식을 취했음에도 불구하고 몸이 무겁고 기운이 하나도 없으며 일상생활을 지속하기 어려울 정도의 무력감이 지속된다면 혈액암의 신호일 수 있습니다. 이는 암세포가 정상적인 적혈구 생성을 방해하여 발생하는 빈혈 증상과도 밀접한 관련이 있습니다.
미열과 식은땀
원인을 알 수 없는 미열이 지속되거나 밤에 잠을 잘 때 식은땀을 심하게 흘리는 증상도 주의 깊게 살펴야 합니다. 우리 몸의 면역 체계가 암세포와 싸우는 과정에서 체온 조절에 이상이 생기거나 암세포 자체가 대사를 촉진하여 열을 발생시킬 수 있기 때문입니다. 특히 자고 일어났을 때 베개나 이불이 흠뻑 젖을 정도의 야간 발한은 혈액암의 전형적인 초기 징후 중 하나로 꼽힙니다.
림프절 이상
림프절이 붓는 현상 또한 중요한 지표가 됩니다. 목 주변, 겨드랑이, 사타구니 부위에 통증이 없는 멍울이 만져진다면 혈액암의 일종인 림프종을 의심해 볼 수 있습니다. 처음에는 크기가 작아 무심코 지나치기 쉽지만 시간이 지남에 따라 크기가 커지거나 개수가 늘어난다면 즉시 정밀 검사를 받아야 합니다.




혈액암의 주요 증상
초기를 지나 병이 진행됨에 따라 혈액의 기능 저하로 인한 구체적이고 뚜렷한 증상들이 나타나기 시작합니다.
지혈 어려움
지혈이 잘 되지 않고 멍이 쉽게 드는 증상이 나타납니다. 혈액 내에서 지혈 작용을 담당하는 혈소판 수치가 급격히 감소하기 때문입니다. 양치질을 할 때 잇몸에서 피가 자주 나거나 코피가 한 번 터지면 잘 멈추지 않는 경우, 그리고 부딪히지도 않았는데 몸 여기저기에 보라색 멍이나 붉은 반점이 생긴다면 혈액 건강에 적신호가 켜진 것으로 보아야 합니다.
면역력 저하
면역력 저하로 인한 잦은 감염증이 발생합니다. 백혈구가 정상적인 기능을 수행하지 못하거나 수치가 변하면서 외부 세균이나 바이러스의 침입에 무방비 상태가 됩니다. 평소보다 감기에 자주 걸리고 한 번 걸리면 폐렴이나 패혈증으로 쉽게 악화되는 경향을 보입니다. 또한 구내염이 자주 생기거나 상처가 났을 때 잘 아물지 않고 화농성 염증으로 이어지는 경우도 빈번합니다.
체중 감소
급격한 체중 감소와 식욕 부진이 동반됩니다. 특별히 다이어트를 하지 않았음에도 불구하고 6개월 이내에 평소 체중의 10% 이상이 줄어든다면 이는 신체 내부에서 소모적인 암세포 증식이 일어나고 있다는 강력한 증거입니다. 소화가 잘 되지 않고 복부 팽만감을 느끼는 경우도 있는데, 이는 간이나 비장이 암세포의 침투로 인해 비대해지면서 주변 장기를 압박하기 때문입니다.




혈액암의 발생 원인
혈액암은 특정 한 가지 원인보다는 여러 유전적 요소와 환경적 요인이 복합적으로 작용하여 발생하는 것으로 알려져 있습니다.
유전 변이
유전적 변이는 혈액암 발생의 근본적인 원인 중 하나입니다. 부모로부터 물려받은 유전 질환이나 염색체 이상이 혈액 세포의 분화 과정에 오류를 일으켜 암세포를 생성하게 만듭니다. 다만 모든 혈액암이 유전되는 것은 아니며 후천적으로 발생하는 유전자 돌연변이가 암 발생의 트리거가 되는 경우가 훨씬 많습니다.
외부요인
화학 물질에 대한 노출과 방사선 조사가 위험 요인으로 작용합니다. 산업 현장에서 흔히 쓰이는 벤젠과 같은 휘발성 유기 용제나 살충제, 제초제 등에 장기간 노출될 경우 골수 세포의 DNA가 손상되어 암으로 발전할 수 있습니다. 또한 과거에 다른 암 치료를 위해 강력한 방사선 치료를 받았거나 다량의 방사선에 노출된 이력이 있는 경우에도 혈액암 발병률이 높아진다는 연구 결과가 있습니다.
바이러스 감염
바이러스 감염과 면역 체계의 이상도 중요한 원인입니다. 엡스타인-바 바이러스(EBV)나 인체 T세포 림프종 바이러스(HTLV-1)와 같은 특정 바이러스는 혈액 세포 내에 잠복하여 세포의 비정상적인 증식을 유도합니다. 이외에도 선천적 혹은 후천적 면역결핍증을 앓고 있거나 장기 이식 후 면역 억제제를 장기간 복용하는 환자들에게서 혈액암이 발생할 확률이 높은 것으로 보고되고 있습니다.




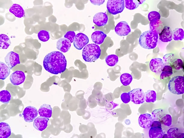
혈액암의 종류
혈액암은 암세포의 기원과 성격에 따라 수십 가지의 세부 종류로 나뉘지만 크게 세 가지 줄기로 분류할 수 있습니다.
백혈병
백혈병(Leukemia)은 골수에서 혈액 세포가 만들어지는 과정에서 미성숙한 백혈구가 과도하게 생성되는 질환입니다. 진행 속도에 따라 급성과 만성으로 나뉘며 세포의 기원에 따라 골수성인가 림프구성인가로 다시 분류됩니다. 급성 백혈병은 증상이 매우 빠르고 격렬하게 나타나 급박한 치료가 필요한 반면, 만성 백혈병은 초기 증상이 거의 없어 건강검진을 통해 우연히 발견되는 경우가 많습니다.
악성 림프종
악성 림프종(Lymphoma)은 림프 조직 내의 림프구가 암세포로 변하여 증식하는 암입니다. 크게 호지킨 림프종과 비호지킨 림프종으로 구분되며 전신 어디에나 있는 림프절을 타고 퍼질 수 있습니다. 우리나라에서는 비호지킨 림프종 환자가 대다수를 차지하며 암세포의 성질에 따라 치료 반응과 예후가 매우 다양하게 나타나는 것이 특징입니다.
다발성 골수종
다발성 골수종(Multiple Myeloma)은 항체를 만드는 형질 세포가 암세포로 변해 골수 내에서 증식하며 뼈를 파괴하는 질환입니다. 이 암세포는 비정상적인 단백질(M-단백)을 만들어내어 신장 기능을 떨어뜨리고 뼈의 칼슘을 빠져나가게 하여 골절을 유발하기도 합니다. 주로 고령층에서 발생 빈도가 높으며 빈혈과 신장 수치 이상, 뼈 통증이 주요 특징으로 나타납니다.


혈액암의 치료 방법
혈액암의 치료는 암의 종류와 진행 단계, 환자의 전신 상태를 고려하여 정밀하게 설계됩니다.
항암치료
항암 화학 요법은 혈액암 치료의 가장 기본이자 중심이 되는 방법입니다. 혈액암은 암세포가 혈액을 따라 전신에 퍼져 있으므로 수술로 제거하는 것이 불가능에 가깝습니다. 따라서 강력한 항암제를 정맥 주사나 경구 투여하여 전신에 퍼진 암세포를 사멸시키는 전략을 사용합니다. 최근에는 특정 유전자 변이만을 공격하는 표적 치료제와 환자의 면역 기능을 강화하여 암세포를 죽이는 면역 항암제가 개발되어 부작용은 줄이고 치료 효과는 높이고 있습니다.
조혈모세포 이식
조혈모세포 이식은 완치를 기대할 수 있는 중요한 치료법입니다. 고용량 항암 치료를 통해 환자의 암세포와 파괴된 골수를 완전히 비워낸 뒤, 건강한 타인이나 본인의 조혈모세포를 이식하여 새로운 혈액 시스템을 구축하는 과정입니다. 이는 매우 힘든 과정이지만 백혈병이나 일부 림프종 환자들에게는 완치로 가는 필수적인 관문이 되기도 합니다.
방사선 치료
방사선 치료와 국소적 요법이 병행되기도 합니다. 주로 림프종 환자 중 특정 부위의 종양 크기가 너무 커서 주변 장기를 압박하거나 항암 치료 후 남아있는 미세 암세포를 제거해야 할 때 사용됩니다. 또한 다발성 골수종 환자의 경우 뼈 통증을 완화하거나 골절 위험을 줄이기 위해 국소적으로 방사선을 조사하기도 합니다.


혈액암의 생존율
혈액암의 생존율은 과거에 비해 비약적으로 향상되었으며 종류에 따라 그 수치가 상이합니다.
급성 림프구성 백혈병
급성 림프구성 백혈병의 경우 특히 소아 환자들의 예후가 매우 좋습니다. 과거에는 난치병으로 여겨졌으나 현재는 80%에서 90% 이상의 완치율을 보일 정도로 치료 성적이 우수합니다. 성인의 경우에도 최신 표적 치료제 도입으로 5년 생존율이 지속적으로 상승하고 있으며 적극적인 치료를 통해 일상으로 복귀하는 사례가 많아지고 있습니다.
호지킨 림프종
악성 림프종 중 호지킨 림프종은 생존율이 가장 높은 암 중 하나로 꼽힙니다. 적절한 항암 치료만으로도 80% 이상의 환자가 완치에 도달할 수 있습니다. 비호지킨 림프종의 경우에도 암세포의 아형에 따라 차이가 있지만 조기에 발견하여 치료할 경우 5년 생존율이 대략 60%에서 70% 선을 유지하고 있습니다.
만성 골수성 백혈병
만성 골수성 백혈병은 표적 항암제(이매티닙 등)의 등장으로 인해 이제는 '관리 가능한 만성 질환'의 영역으로 들어왔습니다. 꾸준히 약을 복용하면 일반인과 다름없는 수명을 누릴 수 있을 정도로 생존율이 획기적으로 개선되었습니다. 다발성 골수종 역시 신약들의 잇따른 개발로 인해 과거보다 생존 기간이 2~3배 이상 연장되는 성과를 거두고 있습니다.


혈액암에 좋은 음식
치료 중이나 회복기에 섭취하는 음식은 체력을 보충하고 면역력을 높이는 데 결정적인 역할을 합니다.
고단백 식품
고단백 식품은 손상된 세포를 재생하고 근육 소실을 막는 데 필수적입니다. 기름기가 적은 살코기, 닭가슴살, 신선한 생선, 계란, 두부 등이 훌륭한 단백질 공급원이 됩니다. 항암 치료 중에는 체력이 급격히 떨어지므로 소화가 잘 되는 방식으로 조리하여 꾸준히 섭취하는 것이 중요합니다. 다만 익히지 않은 육회나 회는 감염 위험이 있으므로 반드시 완전히 익혀서 먹어야 합니다.
항산화 식품
항산화 영양소가 풍부한 신선한 채소와 과일은 면역 체계 강화에 도움을 줍니다. 브로콜리, 시금치, 양배추와 같은 녹황색 채소에는 비타민과 무기질이 가득하며 암세포 증식을 억제하는 성분들이 들어있습니다. 과일의 경우 껍질이 두꺼운 것을 선택하여 깨끗이 세척한 뒤 섭취하는 것이 좋으며, 백혈구 수치가 너무 낮은 시기에는 익힌 채소 위주로 섭취하여 세균 감염을 사전에 차단해야 합니다.
해조류 및 발효 식품
해조류와 발효 식품 또한 혈액 건강 증진에 긍정적인 영향을 미칠 수 있습니다. 미역, 다시마에 들어있는 알긴산 성분은 체내 독소 배출을 돕고 혈액 순환을 원활하게 합니다. 요구르트나 청국장 같은 발효 식품은 장내 유익균을 늘려 면역력의 핵심인 장 건강을 지켜줍니다. 이와 더불어 충분한 수분 섭취는 항암제의 독성을 배출하는 데 큰 도움이 되므로 하루에 1.5리터에서 2리터 정도의 깨끗한 물을 마시는 습관을 들여야 합니다.


혈액암은 분명 두렵고 힘든 질병이지만 현대 의학의 눈부신 발전과 체계적인 관리를 통해 충분히 극복할 수 있는 산입니다. 초기 증상을 민감하게 포착하여 정밀한 검사를 진행하고 각 암의 종류에 맞는 최적의 치료법을 선택한다면 완치라는 희망찬 결말을 맞이할 수 있습니다. 치료 과정에서 겪는 체력적 한계와 심리적 고통은 균형 잡힌 영양 섭취와 긍정적인 마음가짐으로 이겨낼 수 있는 부분입니다. 환자 곁을 지키는 의료진의 기술과 환자 본인의 굳은 의지가 합쳐질 때 혈액암이라는 어두운 터널은 비로소 끝이 납니다. 지금 이 순간에도 수많은 연구가 진행되고 있으며 더 나은 치료제들이 세상에 나오고 있으니 결코 희망을 잃지 마시길 바랍니다. 건강한 식습관과 규칙적인 생활은 치료의 기반이 되며 일상 속 작은 실천들이 모여 큰 기적을 만들어낸다는 사실을 기억하시기 바랍니다.
2025.10.31 - [증상과 예방] - 목감기 빨리 낫는법|목감기에 좋은 음식|증상|약|좋은차|따뜻한물|
목감기 빨리 낫는법|목감기에 좋은 음식|증상|약|좋은차|따뜻한물|
목감기 빨리 낫는법|목감기에 좋은 음식|증상|약|좋은차|따뜻한물|목감기는 상기도 감염의 일종으로, 바이러스에 의해 인후(목 부위)에 염증이 생기는 질환입니다. 일반 감기와 유사하
homeostasises.com
2025.11.17 - [증상과 예방] - 모야모야병 증상|뜻|원인|모야모야병 유전|치료법|완치|예방법|
모야모야병 증상|뜻|원인|모야모야병 유전|치료법|완치|예방법|
모야모야병 증상|뜻|원인|모야모야병 유전|치료법|완치|예방법|모야모야병은 뇌혈관, 특히 뇌로 혈액을 공급하는 내경동맥과 그 주변 주요 혈관이 점점 좁아지고 막히는 희귀 난치성
homeostasises.com
2025.10.02 - [증상과 예방] - 독감 예방 접종 무료대상날짜|비용|시기|주의사항|3가 4가|가격|
독감 예방 접종 무료대상날짜|비용|시기|주의사항|3가 4가|가격|
독감 예방 접종 무료대상날짜|비용|시기|주의사항|3가 4가|가격|독감(인플루엔자)은 인플루엔자 바이러스가 호흡기를 통해 전파되어 발생하는 급성 호흡기 질환으로, 고열·기침·근육
homeostasises.com
'증상과 예방' 카테고리의 다른 글
| B형 독감 증상|격리기간|잠복기|B형독감에 좋은 음식|등교|전염성 (0) | 2026.02.01 |
|---|---|
| 모야모야병 증상|뜻|원인|모야모야병 유전|치료법|완치|예방법| (0) | 2025.11.18 |
| 목감기 빨리 낫는법|목감기에 좋은 음식|증상|약|좋은차|따뜻한물| (1) | 2025.10.31 |
| 독감 예방접종|증상|독감 빨리 낫는법|독감 예방법|독감에 좋은 음식 (0) | 2025.10.19 |
| 독감 예방 접종 무료대상날짜|비용|시기|주의사항|3가 4가|가격| (0) | 2025.10.02 |